
Se você foi ao dentista e ele disse que o seu dente morreu, não entre em pânico. Por mais que seja horrível ouvir uma coisa assim, nem tudo está perdido, acredite! Existe uma forma, sim, de “ressuscitá-lo”. No post desta sexta-feira (2), nós falamos um pouco sobre a morte do dente: o que é, o que pode causá-la, como identificá-la e qual o tratamento.
Tudo o que você precisa saber se o seu dente morreu
Bem, antes de tudo, é preciso explicar que, se o dente morreu, é porque ele não tem mais vitalidade pulpar. Hein?! Explicando em palavras mais simples, isso quer dizer que ele está com o “nervo morto”.
Doenças bucais, como a cárie, podem levar à morte do dente se não forem tratadas o mais rápido possível. Traumas – como pancadas – também entram na lista.
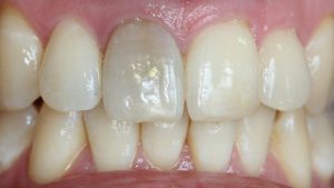
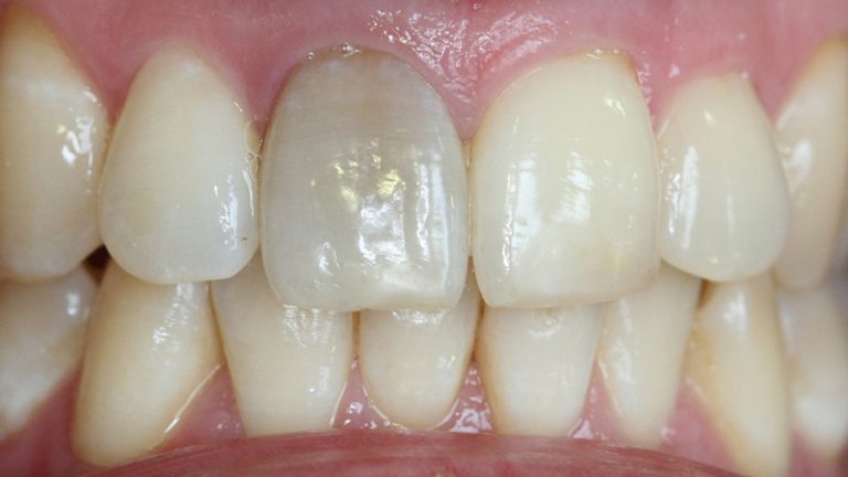
Para saber se o seu dente morreu, antes de ir ao consultório odontológico, claro, você deve prestar atenção na cor dele. Geralmente, quando o nervo morre, acontece o escurecimento dental. O dente também fica dolorido quando é tocado e pode até surgir uma fístula na gengiva, com saída de pus.
Esses sinais, porém, também podem indicar outros problemas bucais. Por isso, para ter um diagnóstico preciso, o mais indicado é procurar o seu dentista de confiança para avaliar a situação.
Se o dente morreu mesmo, normalmente, o profissional indicará um tratamento endodôntico – é o famoso tratamento de canal. Além dele, é preciso também fazer uma restauração ou até mesmo uma capa. Esse segundo procedimento é chamado de “jaqueta” e tem uma função mais estética.
Caso você já tenha passado por uma situação assim, conte para a gente nos comentários como lidou com o problema. Para saber mais sobre saúde bucal, não deixe de acessar o blog!







